Introduction
Acute kidney injury (AKI) is a clinical condition characterized by a rapid decline in renal excretory function, accumulation of nitrogen metabolites, reduced urine output, metabolic acidosis, and elevated potassium and phosphorus concentrations [1, 2]. Recent statistics indicate a high incidence of AKI globally, with more than 5,000 cases per million people per year of non-dialysis AKI and 295 cases per million people per year requiring dialysis, and a high overall mortality rate [3]. The major pathological changes associated with AKI include fluid, electrolyte, and acid-base imbalances, as well as damage to multiple organs throughout the body. As AKI progresses, the majority of kidney units may become irreversibly destroyed and lost, leading to end-stage renal disease [4]. Unfortunately, there are currently no effective treatments for AKI that can reduce kidney damage or accelerate kidney unit recovery. Therefore, exploring effective pharmacological therapies is of great clinical importance.
Traditional Chinese Medicine (TCM) has been widely used for thousands of years in China to treat kidney disease and its complications [5]. Among the TCM formulas, Dahuang-Gancao Decoction (DHGC), which contains Rheum palmatum L (rhubarb) and Radix glycyrrhiza (licorice), is a well-known Chinese medicine formula used to treat kidney disease. DHGC was first recorded in a famous ancient medical book "Treatise on Cold Pathogenic and Miscellaneous Diseases" in the Han Dynasty, and it can be used for the treatment of constipation, excess heat stagnation of the gastrointestinal tract, and related symptoms [6]. According to TCM theory, licorice can alleviate rhubarb’s drastic nature, making DHGC more suitable for treating AKI. Modern pharmacological studies have shown that Rhubarb and licorice play an important role in the treatment of AKI [7, 8]. For example, Rhubarb and its active components possess anti-inflammatory, antioxidant, and antiapoptotic effects, which can effectively delay the progression of AKI [2, 9]. Licorice can alleviate methotrexate-induced AKI by decreasing oxidative stress and suppressing the ensuing activation of proapoptotic and proinflammatory pathways [10]. This predicts that DHGC has a therapeutic effect on AKI. However, the potential pharmacological mechanisms underlying the therapeutic effects of DHGC and its components in the treatment of AKI are still unclear, and additional preclinical evidence is needed.
With advances in bioinformatics, systems biology, and pharmacology, network pharmacology has emerged as a new strategy to elucidate the active ingredients and potential mechanisms of herbal compounds [5]. Network pharmacology analyzes the network of biological systems and selects specific signaling nodes to design multitarget drug molecules, which is in line with the characteristics of Chinese medicine, which often employs multi-component, multitarget, and compound actions [11]. Therefore, this study aims to identify the potential molecular mechanisms of DHGC against AKI using network pharmacology to provide a basis for further animal experiments. Furthermore, a mouse experiment is designed to validate the crucial role of the molecular mechanism of DHGC against AKI. This study is expected to reveal the potential mechanism of DHGC in treating AKI and provide a new strategy for studying drugs to treat AKI.
Materials and Methods
Collection and screening of the main chemical components and targets of DHGC
The traditional Chinese medicine systems pharmacology database and analysis platform (TCMSP) was utilized to identify compounds and targets related to DHGC. Candidate compounds were selected based on drug-likeness (DL) values ≥0.18 and oral bioavailability (OB) ≥30%. Targets of the candidate rhubarb and licorice compounds were obtained from the TCMSP database, and translated into corresponding gene names using the protein database UniProt.
AKI disease target collection and Venn diagram construction
The GeneCards, OMIM, and DrugBank databases were searched using the keywords “Acute kidney injury” to identify human genes associated with AKI. Repetitive targets were removed, and all target genes were converted to human genes using the UniProt database. The DHGC-related targets and AKI-related targets were analyzed using Omicshare to generate a Venn diagram to determine the intersected targets.
Constructing a “DHGC-Active ingredient-target” network and protein-protein interaction (PPI) network
The “DHGC-Active Ingredient-Target” network was constructed using Cytoscape 3.8.2 to elucidate the pharmacological mechanisms of action of DHGC. The intersected targets were imported into the STRING 11.0 database, and a PPI network model was constructed using “Homo sapiens” as the biological species set, with a confidence score >0.4 and unconnected nodes hidden. The resulting proteins were introduced into Cytoscape 3.8.2 software to construct the PPI networks, and node connectivity was analyzed to identify core targets.
Gene ontology (GO) functional annotation and Kyoto Encyclopedia of Genes and Genomes (KEGG) pathway analysis
GO functional enrichment analysis and KEGG pathway enrichment analysis were conducted for the common targets of DHGC and AKI using R software and the DAVID database, with a threshold value of P < 0.05. DHGC was found to interfere with the biological pathway of AKI. Bubble plots were generated to display the top 20 items of GO analysis and the top 20 items of KEGG analysis.
Reagents
Rhubarb and licorice were purchased from Hubei Tianji Chinese Medicine Decoction Company (Wuhan, China). The primary antibody against SIRT3 was obtained from Cell Signaling Technology Inc., (#2627, Beverly, MA, USA), while other antibodies, including NRF-2 (16396-1-AP), HO-1 (10701-1-AP), and β-actin (81115-1-RR), were procured from Proteintech Group, Inc. (Wuhan, China). DHGC was prepared in accordance with the guidelines set forth in the “Treatise on Cold Pathogenic and Miscellaneous Diseases.” In brief, the drug-solvent ratio was 1:10, with 40 g of Rhubarb species (Rheum palmatum L) and 10 g of licorice species (Radix glycyrrhizae) added to 500 ml of boiling water. The herbs were subjected to reflux extraction with water for 1.5 h twice to obtain the water decoction and concentrate. The DHGC decoction was then dried in a vacuum drier to calculate the extraction rate, and the ratio of DHGC decoction powder to raw herbs was 15.61%. The resulting dry extract was stored at −20°C until use.
Animal experiment
Male C57BL/6 mice (six weeks old, 20 ± 2 g) were obtained from Hubei Center for Disease Control and Prevention (Wuhan, China). Mice were adaptively housed for one week under a 12 h light/dark cycle (23 ± 2°C, 55% ± 5% humidity) with free access to food and water. The mice were randomly divided into five groups (n = 8): Ctrl group, AKI group, AKI+ low dose group (Low group), AKI+ medium dose group (Medium group), and AKI+ high dose group (High group). DHGC water extract (50 mg/kg, 100 mg/kg, 150 mg/kg) was administered to the Low, Medium, and High groups for three days before LPS administration. Then, the AKI group, Low group, Medium group, and High group were injected with LPS (10 mg/kg, i.p.), while the Ctrl group received an equal volume of saline (i.p.). After 24 hours, all mice were euthanized, and the kidney and serum were collected. Kidney tissues were photographed, and all samples were stored at −80°C for further experiments. The animal experiments were performed in accordance with the guidelines set forth by the Animal Care and Use Committee of the animal facility at the Hubei University of Chinese Medicine (No: HUCMS202302007).
Analysis of creatinine and urea
The Creatinine Colorimetric Assay Kit and Urea Colorimetric Assay Kit were utilized to determine the levels of creatinine and urea, respectively, in serum, as per the manufacturer’s instructions (E-BC-K188-M and E-BC-K183-M, Elabscience Biotechnology Co., Ltd, Wuhan, China).
Histological analysis
Kidney tissues were fixed with 4% paraformaldehyde, dehydrated, paraffin-embedded, and sectioned into 5 μm-thick sections. Deparaffinization was performed using xylene and diluted ethanol. Hematoxylin and eosin (H&E) staining was applied, and the TUNEL Staining Kit (E-CK-A320, Elabscience Biotechnology Co., Ltd, Wuhan, China) was employed to assess apoptosis levels. Images were captured using a Leica DFC310 FX digital camera coupled with a Leica DMI4000B light microscope (Wetzlar, Germany).
RNA extraction and real-time quantitative PCR (RT-qPCR)
Based on the manufacturer’s protocol, total RNA of kidney was extracted using Trizol reagent and reversely transcribed to cDNA with a first-strand cDNA synthesis kit (G3337, Servicebio, Wuhan, China). The relative mRNA levels of target genes were measured by RT-qPCR using a SYBR QPCR mixture (AM2103, Allmeek Co., Ltd, Beijing, China) at the ABI 7500 Real-Time Fluorescence Quantitative PCR instrument. The thermal cycle condition was as follows: pre-denaturing at 95°C for 10 min; 40 cycles of denaturation at 95°C for 10 s, annealing/extension at 60°C for 30 s. Target gene expressions were normalized against that of β-actin, and fold changes were calculated using a 2(−ΔΔCT) method. The list of PCR primers used in this study is shown in Table 1.
Table 1. Primer sequence list for RT-PCR analysis.
| Gene | Forward primer (5′–3′) | Reverse primer (5′–3′) |
| SIRT3 | ATCCCGGACTTCAGATCCCC | CAACATGAAAAAGGGCTTGGG |
| NRF2 | CACATCCAGTCAGAAACCAGTGG | GGAATGTCTGCGCCAAAAGCTG |
| HO-1 | GAACCCAGTCTATGCCCCAC | GGCGTGCAAGGGATGATTTC |
| β-Actin | GGCTGTATTCCCCTCCATCG | CCAGTTGGTAACAATGCCATGT |
Western blot
Total protein was extracted from kidney tissues using RIPA buffer (G2033, Servicebio, Wuhan, China), along with a protease inhibitor cocktail (G2006, Servicebio, Wuhan, China). The protein concentration was determined using a bicinchoninic acid (BCA) protein assay kit (G2026, Servicebio, Wuhan, China). The protein samples were separated on sodium dodecyl sulfate-polyacrylamide gel electrophoresis (SDS-PAGE) gels and transferred onto polyvinylidene difluoride (PVDF) membranes. After blocking with 5% skim milk in Tris-buffered saline tween-20 (TBST) for 1 hour, the membranes were incubated separately with primary antibodies at 4°C overnight, including SIRT3, NRF2, HO-1, and β-actin. After washing with TBST, the membranes were incubated with a secondary antibody conjugated with horseradish peroxidase (HRP) for 1.5 hours. The protein signals were finally visualized using an ECL Protein Detection kit.
Statistical analysis
The data are expressed as the mean ± SD. An unpaired two-tailed Student’s t-test was used to compare the difference between the two groups, while one-way ANOVA was used to assess differences among multiple groups. P < 0.05 was considered statistically significant. GraphPad Prism (Version 8.0.1, GraphPad Software Inc., CA, USA) was utilized for regular analysis.
Data availability statement
The data used to support the findings of this study are available from the corresponding author upon request.
Results
Composition and target screening of DHGC
In the screening process, a total of 108 chemical components were identified in DHGC. The top 20 components are listed in Table 2. To identify protein targets associated with DHGC, we utilized the TCMSP database and subjected the resulting targets to normalization using the Uniprot database. This process yielded a total of 3,161 gene targets, from which 2,991 duplicate targets were eliminated, leaving a final count of 170 unique targets.
Table 2. Active components of GGQL (top 20 of OB).
| ID | Active components | OB (%) | DL |
| MOL002311 | Glycyrol | 90.78 | 0.67 |
| MOL004990 | 7,2′,4′-trihydroxy—5-methoxy-3—arylcoumarin | 83.71 | 0.27 |
| MOL000471 | Aloe-emodin | 83.38 | 0.24 |
| MOL004904 | Licopyranocoumarin | 80.36 | 0.65 |
| MOL004891 | Shinpterocarpin | 80.3 | 0.73 |
| MOL005017 | Phaseol | 78.77 | 0.58 |
| MOL004841 | Licochalcone B | 76.76 | 0.19 |
| MOL004810 | Glyasperin F | 75.84 | 0.54 |
| MOL001484 | Inermine | 75.18 | 0.54 |
| MOL000500 | Vestitol | 74.66 | 0.21 |
| MOL005007 | Glyasperins M | 72.67 | 0.59 |
| MOL004941 | (2R)-7-hydroxy-2-(4-hydroxyphenyl) chroman-4-one | 71.12 | 0.18 |
| MOL004959 | 1-Methoxyphaseollidin | 69.98 | 0.64 |
| MOL000392 | Formononetin | 69.67 | 0.21 |
| MOL004863 | 3-(3,4-dihydroxyphenyl)-5,7-dihydroxy-8-(3-methylbut-2-enyl) chromone | 66.37 | 0.41 |
| MOL004903 | Liquiritin | 65.69 | 0.74 |
| MOL004808 | Glyasperin B | 65.22 | 0.44 |
| MOL004829 | Glepidotin B | 64.46 | 0.34 |
| MOL004855 | Licoricone | 63.58 | 0.47 |
| MOL004914 | 1,3-dihydroxy-8,9-dimethoxy-6-benzofurano (3,2-c) chromenone | 62.9 | 0.53 |
AKI intersectional targets and the “DHGC-AKI” database
In order to elucidate the mechanism and pharmacodynamics of DHGC, we extracted a total of 7,828 target genes associated with AKI from GeneCard, OMIM, and DrugBank databases. By performing a Venn diagram analysis, we identified 161 unique targets that are common to both DHGC and AKI, as depicted in Figure 1.

Figure 1. Venn diagram for drug target and disease target screening. After preliminary screening, 7,828 targets were identified for AKI, 170 for DHGC, and 161 for DHGC and AKI.
Ingredient-target-disease network
To investigate the association between active ingredients, potential targets, and AKI, we constructed an ingredient-target-disease network using Cytoscape 3.8.2 software. The network consisted of 10 nodes and 32 edges, as shown in Figure 2. The top 10 key targets of DHGC in the treatment of AKI were identified as ESR1, AR, PPARG, ESR2, GSK3β, PRSS1, NCOA2, SIRT3, PTGS1, and ACHE.

Figure 2. Interaction network of DHGC compound-AKI targets. The blue squares represent DHGC and AKI, the inner circle represents the active components, and the outer circle represents the target genes of the DHGC compound acting on AKI, which are divided by degree centrality (DC) values. Blue indicates a higher DC value. The number of edges connected to the node in the network represents the degree of freedom.
PPI network construction
To identify the core proteins targeted by DHGC for the intervention of AKI, we constructed a protein-protein interaction (PPI) network consisting of 110 nodes and 1008 edges using the STRING database (Figure 3A). After removing targets that were not linked to other targets, we further analyzed the nodes with the highest number of edges, as illustrated in Figure 3B.

Figure 3. PPI network. (A) Network nodes represent proteins: colored nodes represent query proteins and the first shell of interactors; white nodes represent the second shell of interactors; empty nodes represent proteins of unknown 3D structure; filled nodes represent some 3D structure that is known or predicted. Edges represent protein–protein associations: the light blue edges represent curated databases; the fuchsia edges represent experimentally determined associations; the green edges represent gene neighborhoods; the red edges represent gene fusions; the dark blue edges represent gene co-occurrence; the light green edges represent text mining; the black edges represent co-expression; the light purple edges represent protein homology. The thickness of the line in the figure represents the strength of the force. (B) Statistics of the most multilateral nodes of the PPI network.
GO enrichment and KEGG pathway analyses
To elucidate the molecular mechanisms underlying DHGC’s therapeutic effects against AKI, we performed GO enrichment and KEGG pathway analyses. The clusterProfiler package of R language software was used to conduct GO enrichment analysis on the 161 therapeutic targets of DHGC against AKI, resulting in a total of 114 significant GO entries (P-value < 0.05). The top entries included RNA polymerase II-specific DNA-binding transcription activator activity, DNA-binding transcription factor binding, DNA-binding transcription activator activity, RNA polymerase II-specific DNA-binding transcription factor binding, ubiquitin-like protein ligase binding, and nuclear receptor activity, among others (Figure 4A).

Figure 4. GO enrichment analysis and KEGG enrichment analysis of DHGC anti-AKI. (A) GO analysis of core targets (top 20). (B) Pathways of the DHGC compound against AKI (top 20).
We also performed KEGG pathway analysis using the clusterProfiler package, with human as the selected species (organization = “has”) and P-value < 0.5 as the threshold. A total of 122 pathways were obtained, with the top 20 ranked based on the correlation and P-value. The pathways included chemical carcinogenesis-receptor activation, lipid and atherosclerosis, prostate cancer, hepatitis B, fluid shear stress and atherosclerosis, and apoptosis. Notably, the signaling pathways involving inflammation, oxidative stress, and apoptosis were highly correlated (Figure 4B).
DHGC ameliorated physiochemical parameters in AKI mice
A schematic diagram of the animal experiment is depicted in Figure 5A. Briefly, mice were treated with DHGC for three days and then induced with AKI by intraperitoneal injection of LPS (10 mg/kg). There was no significant difference in kidney index among all groups (Figure 5B). Additionally, DHGC administration at a high dosage suppressed the elevation of urea and creatinine levels in AKI mice (P < 0.01, vs. AKI group) (Figure 5C, 5D).

Figure 5. Improvement of physiochemical parameters in LPS-induced AKI mice by DHGC. (A) Experimental schematic diagram. (B) Kidney index. (C) Level of serum urea. (D) Level of serum creatinine. Data are presented as the mean ± SD (n = 6). *P < 0.05, **P < 0.01 vs. Ctrl group; #P < 0.05, ##P < 0.01 vs. AKI group.
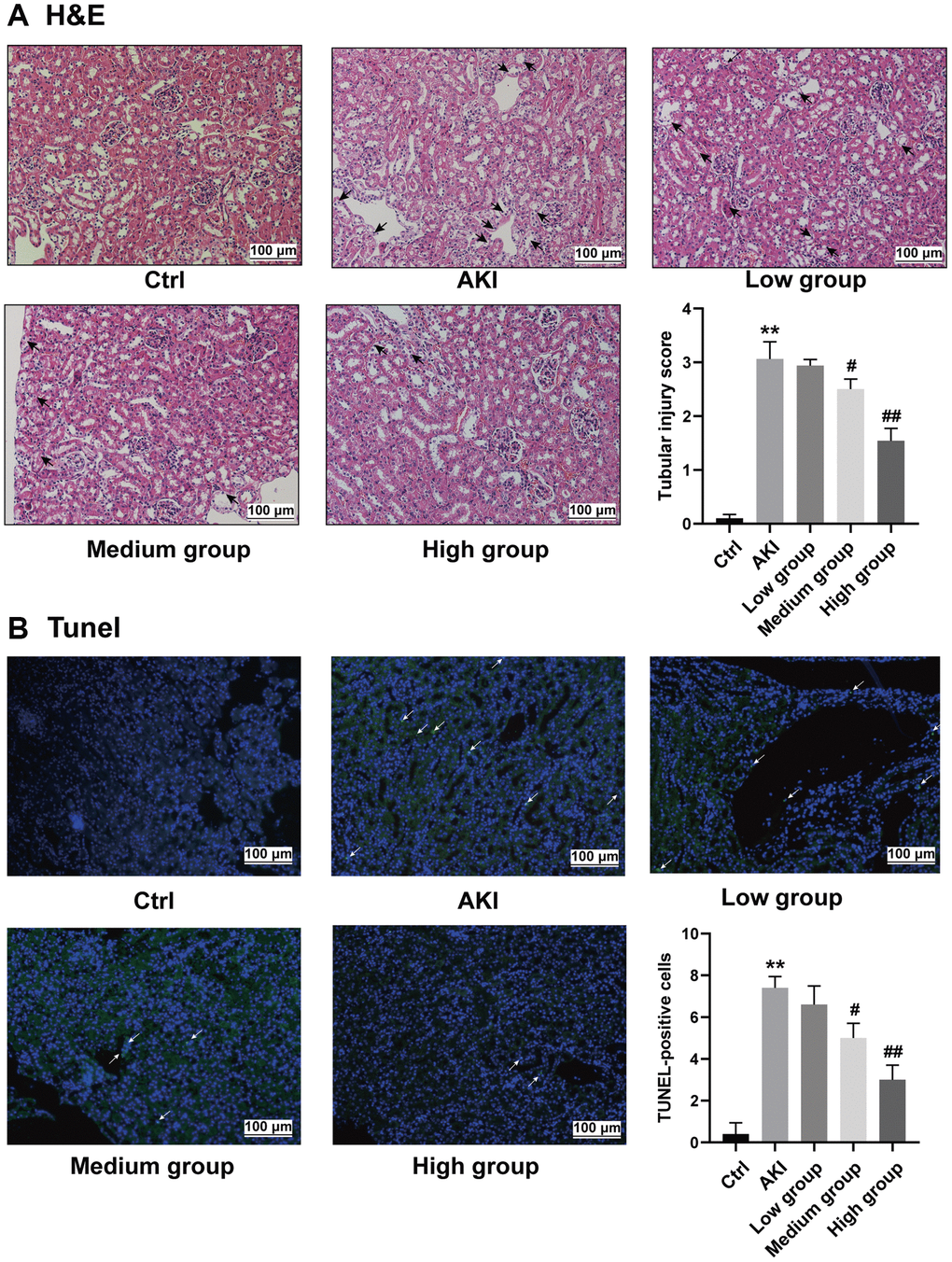
DHGC mitigates renal injury and apoptosis in AKI mice
The renoprotective effect of DHGC against renal injury was demonstrated through H&E staining of the kidneys. Mice subjected to LPS injection exhibited noticeable edema in the renal tubular epithelial cells, which was prevented in all DHGC-treated groups. The renal tubule injury score was gradually reduced after DHGC gradient intervention (P < 0.01, vs. AKI group) (Figure 6A). Additionally, LPS-induced injury resulted in a significant increase in the number of TUNEL-positive cells in kidney tissue, while DHGC treatment led to a significant reduction in apoptotic cells in kidney tissue samples. TUNEL-positive cells were significantly reduced after DHGC intervention (P < 0.01, vs. AKI group) (Figure 6B).

Figure 6. Reversal of renal pathological injury and reduced apoptosis in AKI mice by DHGC. (A) Representative histology and pathological tubular injury score in the renal cortex by H-E staining (200×, arrows represent renal tubular epithelial injury). (B) Apoptosis was also evaluated by TUNEL staining and quantification of TUNEL-positive cells (200×, arrows indicate the apoptosis-positive area).
DHGC decreases serum inflammatory factors in AKI mice
Elevated levels of proinflammatory cytokines are a hallmark of acute kidney injury [12]. To investigate whether DHGC affects the inflammatory response, we measured the levels of these cytokines in serum. As shown in Figure 7, IL-6, TNF-α, and IL-1β levels were significantly increased in the AKI group, whereas DHGC intervention significantly reduced these cytokine levels. These findings suggest that DHGC effectively attenuated the LPS-induced inflammatory response.

Figure 7. DHGC reduces inflammation in AKI mice. Serum IL-6, TNF-α, and IL-1β levels. Data are presented as the mean ± SD (n = 6). *P < 0.05, **P < 0.01 vs. Ctrl group; #P < 0.05, ##P < 0.01 vs. AKI group.
DHGC effects on the SIRT3/NRF2/HO-1 signaling pathway in AKI mice
To gain further insight into the effect of DHGC on the SIRT3/NRF2/HO-1 signaling pathway, we conducted western blot analysis to examine the protein expression of SIRT3, NRF2, and HO-1 in the kidneys. Our findings demonstrated that SIRT3, NRF2, and HO-1 expression were significantly reduced in AKI mice (Figure 8A, 8B). In contrast, treatment with DHGC remarkably suppressed the protein alterations in these regulators and kinases in AKI mice, suggesting a protective effect of DHGC on the SIRT3/NRF2/HO-1 signaling pathway. SIRT3, NRF2, and HO-1 at the mRNA level, DHGC also showed the same effect (P < 0.01 and 0.05, vs. AKI group) (Figure 8C).

Figure 8. Expression of the SIRT3/NRF2/HO-1 signaling pathway. (A) Representative images of the effect of DHGC on the SIRT3/NRF2/HO-1 signaling pathway in AKI mice by Western blot. (B) Statistical analysis of the results of the Western blot. (C) Expression of SIRT3, NRF2, and HO-1 in kidney tissues at mRNA level. Data are presented as the mean ± SD. **P < 0.01 vs. Ctrl group; #P < 0.05, ##P < 0.01 vs. AKI group.
Discussion
Acute kidney injury (AKI) is a critical clinical condition primarily managed through symptomatic therapy, as specific treatment strategies have yet to be identified. Nonetheless, herbal formulations have a long-standing history of aiding in the treatment of AKI [13]. In this study, we utilized network pharmacology to investigate the potential molecular mechanism underlying the anti-AKI effects of DHGC, a Chinese medicine formula. Our network pharmacological findings were further corroborated through animal experiments.
Through basic network pharmacological analysis, we identified the main targets of DHGC against AKI to be EGFR, ESR1, MAPK8, AR, CCND1, NCOA1, MDM2, RB1, APP, MYC, and SIRT3. Some of these targets facilitate AKI, such as EGFR, which accelerates renal cell apoptosis and caspase-3 activation during AKI progression [14, 15]. On the other hand, several targets play a protective role against AKI, including SIRT3, which inhibits kidney cell apoptosis caused by mitochondrial damage, thereby delaying the progression of AKI [16, 17]. Our analysis suggests that one of the mechanisms by which DHGC exerts its anti-AKI effects is by inhibiting renal cell apoptosis through the attenuation of mitochondrial damage. Mitochondrial damage is a significant mechanism underlying apoptosis induction in kidney cells, and our research shows that DHGC’s active ingredients have protective effects against mitochondrial damage. For instance, quercetin, the major chemical constituent in DHGC, modulates pathways associated with mitochondrial biogenesis, ATP anabolism, and intramitochondrial redox status, ultimately inhibiting mitochondria-induced apoptosis [18]. Additionally, aloe-emodin can reduce mitochondrial damage and inhibit the caspase-3 apoptotic signaling pathway [18]. Our KEGG enrichment analysis also supports the hypothesis that the anti-AKI action of DHGC is linked to the inhibition of renal apoptosis through the attenuation of mitochondrial damage. Specifically, we found that apoptosis was highly correlated, and further analysis showed that SIRT3, a critical target of DHGC against AKI that plays a role in maintaining mitochondrial homeostasis, is a key factor in this process [19]. Moreover, our analysis identified nuclear factor erythroid 2-related factor 2 (NRF2), a downstream factor of SIRT3, as a significant target in the DHGC network pharmacological analysis. The SIRT3/NRF2/HO-1 signaling pathway acts as an inhibitor of apoptosis, thus we focused our attention on this pathway [20].
To validate the results predicted in network pharmacology, we subsequently induced a mouse AKI model using LPS. LPS is a recognized model drug that triggers cytokine synthesis, secretion, and subsequent inflammatory processes [21]. It is also one of the most important causes of sepsis in the pathogenesis of AKI, leading to a storm of inflammatory factors, increased oxidative stress, inadequate renal perfusion, and ultimately a progressive acute decline in renal function [21]. Creatinine and urea are metabolic end products of creatine, phosphocreatine, and ammonia synthesis [22, 23]. In cases of acute impairment of renal function, creatinine, and urea are not excreted, resulting in increased serum levels (Figure 5C, 5D). The high-dose DHGC group intervention led to decreased serum creatinine and urea levels (Figure 5C, 5D). This may be attributed to Emodin, an active ingredient of Rhubarb that increases glomerular filtration by inhibiting glomerular podocyte apoptosis and endoplasmic reticulum stress [24]. DHGC’s main component, Rhein, possesses various pharmacological activities, such as antibacterial, anti-inflammatory, and anti-ulcer effects, and delays the progression of AKI [2]. Nevertheless, Rhubarb may increase kidney damage due to its toxicity, which should not be ignored [25]. Traditional Chinese Medicine (TCM) theory suggests that drugs with milder medicinal properties are often taken to reduce Rhubarb’s toxicity. Modern pharmacological studies support this TCM theory by demonstrating that the toxicity of Rhubarb is reduced when combined with Licorice [26]. Therefore, DHGC can safely reduce serum creatinine and urea levels in AKI mice by combining Rhubarb and Licorice.
Consistent with previously reported findings, histological analysis of hematoxylin and eosin-stained sections demonstrated that mice treated with lipopolysaccharide (LPS) exhibited renal pathological injury, as evidenced by necrosis, degeneration, and cell swelling of renal tubular epithelial cells [27]. Concomitant apoptosis in the kidney cells of AKI mice was also confirmed by terminal deoxynucleotidyl transferase dUTP nick-end labeling (TUNEL) staining (Figure 6B). However, following gradient intervention with DHGC, the above pathological features were alleviated. The protective effect of DHGC on the kidney was confirmed, while its inhibitory effect on kidney cell apoptosis was established. Apoptosis is induced by various factors, with inflammation being among the most significant factors in AKI [28]. AKI is characterized by acute inflammation, apoptosis, and renal impairment [29]. In AKI patients, elevated levels of nitrogenous substances and serum LPS concentration may contribute to systemic inflammation by increasing the levels of proinflammatory cytokines, such as IL-6, IL-1β, and TNF-α [30]. Prior investigations have demonstrated that Rhubarb decoction exerts an inhibitory effect on inflammation both in vitro and in vivo [31, 32]. Likewise, we observed that DHGC reduced serum levels of IL-6, IL-1β, and TNF-α (Figure 7), further supporting DHGC’s potential to attenuate apoptosis in AKI mice by suppressing inflammation.
To elucidate the mechanism by which DHGC inhibits apoptosis, we investigated the SIRT3/NRF2/HO-1 signaling pathway based on network pharmacology analysis. Recent evidence has demonstrated that curbing excessive production of reactive oxygen species (ROS) in mitochondria can attenuate renal injury, decrease cytokine release, and suppress renal inflammation [33]. Moreover, mitochondrial autophagy controls mitochondrial mass and mitigates mitochondrial ROS by degrading damaged mitochondria and inhibiting renal apoptosis [34] As reported, the Nrf2/HO-1 signaling pathway has been proven to function as one of the key molecular mechanisms participating in oxidative stress, inflammatory activity, and damaged mitochondria in AKI mice [35–37]. SIRT3 inhibits AKI progression through anti-inflammation, anti-oxidation, anti-apoptosis, and maintenance of mitochondrial homeostasis [38]. Therefore, targeting the reduction of mitochondrial damage (i.e., inhibiting apoptosis) may represent a promising therapeutic strategy against AKI. SIRT3, a member of the Sirtuin family of mammalian histone deacetylases, is predominantly expressed in cellular mitochondria and plays a critical regulatory role in human physiology and various diseases [39]. SIRT3 has been shown to mitigate mitochondrial oxidative damage and apoptosis [19]. Based on network pharmacological analysis, we hypothesized that activation of the SIRT3/NRF2/HO-1 signaling pathway may impede apoptosis in AKI mice. NRF2 mediates genes that encode antioxidative enzymes, antiapoptotic proteins, and detoxifying factors [40]. Additionally, Nrf2 exerts a protective effect against oxidative stress by regulating antioxidative genes, including NQO1 and heme oxygenase-1 (HO-1), which act as antiapoptotic agents [41]. HO-1, which is transcriptionally regulated by Nrf2, serves as an oxidative stress marker that contributes to antioxidant defense and apoptosis prevention [42]. Our data revealed that the SIRT3/NRF2/HO-1 signaling pathway was significantly inhibited in AKI mice due to increased apoptosis in kidney cells (Figure 8). Notably, DHGC exhibited a dose-dependent activation of this signaling pathway, which may represent a pivotal mechanism in inhibiting renal apoptosis and delaying AKI progression.
In summary, this study demonstrated that network pharmacological analysis confirms the broad anti-AKI mechanism of DHGC, which is potentially related to its anti-inflammatory and anti-apoptotic effects on renal cells. Experimental validation confirmed that DHGC alleviates the progression of AKI in mice, as indicated by the reduction of serum inflammatory factors and renal cell apoptosis. DHGC’s therapeutic effect in attenuating apoptosis may be attributed to the activation of the SIRT3/NRF2/HO-1 signaling pathway. These findings provide insight into the potential clinical application of DHGC in the treatment of nephropathy.
Author Contributions
Rui Wang and Yi An contributed equally to this work. Yinshui Zou and Guangzhi Wang designed the study. Rui Wang completed the experimental detection. Rui Wang and Guangzhi Wang were the major contributors in drafting and revising the manuscript. Yifang Xu, Chengyin Li, Qiyuan Wang have further revised the article. All authors read and approved the final manuscript.
Conflicts of Interest
The authors declare that the research was conducted in the absence of any commercial or financial relationships that could be construed as a potential conflict of interest.
Ethical Statement
The animal study was reviewed and approved by the Ethics Committee of Hubei University of Chinese Medicine (HUCMS202302007). All experiments on animals were conducted in conformity with the Animal Care and Use Committee of Institute of Materia Medica, P.R. China.
Funding
National Famous Old Chinese Medicine Experts Inheritance Studio Construction Project (National Chinese Medicine Human Education Letter (2022) No. 75). Chinese Medicine Scientific Research Projects of Hubei Provincial Administration of Traditional Chinese Medicine in 2023~2024 (ZY2023Z001 and ZY2023Q003). Natural Science Foundation of Hubei Province (2022CFD023 and 2022CFD157). Hubei University of Chinese Medicine University-level Science and Technology Plan (2022SZXC005). Wuhan Municipal Health Commission Wuhan Traditional Chinese Medicine research project surface project (WZ22B01). Scientific research subject of Shanxi Provincial Health Commission (2023083).
References
- 1. Ronco C, Bellomo R, Kellum JA. Acute kidney injury. Lancet. 2019; 394:1949–64. https://doi.org/10.1016/S0140-6736(19)32563-2 [PubMed]
- 2. Liu Y, Li M, Teh L, Zhao L, Ye N, Wu L, Wu L. Emodin-Mediated Treatment of Acute Kidney Injury. Evid Based Complement Alternat Med. 2022; 2022:5699615. https://doi.org/10.1155/2022/5699615 [PubMed]
- 3. Parikh RV, Tan TC, Salyer AS, Auron A, Kim PS, Ku E, Go AS. Community-Based Epidemiology of Hospitalized Acute Kidney Injury. Pediatrics. 2020; 146:e20192821. https://doi.org/10.1542/peds.2019-2821 [PubMed]
- 4. Peerapornratana S, Manrique-Caballero CL, Gómez H, Kellum JA. Acute kidney injury from sepsis: current concepts, epidemiology, pathophysiology, prevention and treatment. Kidney Int. 2019; 96:1083–99. https://doi.org/10.1016/j.kint.2019.05.026 [PubMed]
- 5. Li HD, Meng XM, Huang C, Zhang L, Lv XW, Li J. Application of Herbal Traditional Chinese Medicine in the Treatment of Acute Kidney Injury. Front Pharmacol. 2019; 10:376. https://doi.org/10.3389/fphar.2019.00376 [PubMed]
- 6. Kon R, Yamamura M, Matsunaga Y, Kimura H, Minami M, Kato S, Ikarashi N, Sugiyama K. Laxative effect of repeated Daiokanzoto is attributable to decrease in aquaporin-3 expression in the colon. J Nat Med. 2018; 72:493–502. https://doi.org/10.1007/s11418-018-1174-1 [PubMed]
- 7. Wang W, Li J, Ma G, Li N, Wang P, Xiao Q, Li B, Liu Y, Gao X, Li W. [Effect of rhubarb as the main composition of sequential treatment in patients with acute paraquat poisoning: a prospective clinical research]. Zhonghua Wei Zhong Bing Ji Jiu Yi Xue. 2015; 27:254–8. https://doi.org/10.3760/cma.j.issn.2095-4352.2015.04.006 [PubMed]
- 8. Aksoy N, Dogan Y, Iriadam M, Bitiren M, Uzer E, Ozgonul A, Aksoy S. Protective and therapeutic effects of licorice in rats with acute tubular necrosis. J Ren Nutr. 2012; 22:336–43. https://doi.org/10.1053/j.jrn.2011.07.002 [PubMed]
- 9. Lin CH, Tseng HF, Hsieh PC, Chiu V, Lin TY, Lan CC, Tzeng IS, Chao HN, Hsu CC, Kuo CY. Nephroprotective Role of Chrysophanol in Hypoxia/Reoxygenation-Induced Renal Cell Damage via Apoptosis, ER Stress, and Ferroptosis. Biomedicines. 2021; 9:1283. https://doi.org/10.3390/biomedicines9091283 [PubMed]
- 10. Chauhan P, Sharma H, Kumar U, Mayachari A, Sangli G, Singh S. Protective effects of Glycyrrhiza glabra supplementation against methotrexate-induced hepato-renal damage in rats: An experimental approach. J Ethnopharmacol. 2020; 263:113209. https://doi.org/10.1016/j.jep.2020.113209 [PubMed]
- 11. Bao W, Sun H, Wu X, Xu J, Zhang H, Cao L, Fan Y. Exploring Anti-Type 2 Diabetes Mellitus Mechanism of Gegen Qinlian Decoction by Network Pharmacology and Experimental Validation. Dis Markers. 2022; 2022:1927688. https://doi.org/10.1155/2022/1927688 [PubMed]
- 12. Li D, Liu B, Fan Y, Liu M, Han B, Meng Y, Xu X, Song Z, Liu X, Hao Q, Duan X, Nakai A, Chang Y, et al. Nuciferine protects against folic acid-induced acute kidney injury by inhibiting ferroptosis. Br J Pharmacol. 2021; 178:1182–99. https://doi.org/10.1111/bph.15364 [PubMed]
- 13. Li J, Gong X. Tetramethylpyrazine: An Active Ingredient of Chinese Herbal Medicine With Therapeutic Potential in Acute Kidney Injury and Renal Fibrosis. Front Pharmacol. 2022; 13:820071. https://doi.org/10.3389/fphar.2022.820071 [PubMed]
- 14. Xu L, Li X, Zhang F, Wu L, Dong Z, Zhang D. EGFR drives the progression of AKI to CKD through HIPK2 overexpression. Theranostics. 2019; 9:2712–26. https://doi.org/10.7150/thno.31424 [PubMed]
- 15. Ren Q, Guo F, Tao S, Huang R, Ma L, Fu P. Flavonoid fisetin alleviates kidney inflammation and apoptosis via inhibiting Src-mediated NF-κB p65 and MAPK signaling pathways in septic AKI mice. Biomed Pharmacother. 2020; 122:109772. https://doi.org/10.1016/j.biopha.2019.109772 [PubMed]
- 16. Wang T, Cao Y, Zheng Q, Tu J, Zhou W, He J, Zhong J, Chen Y, Wang J, Cai R, Zuo Y, Wei B, Fan Q, et al. SENP1-Sirt3 Signaling Controls Mitochondrial Protein Acetylation and Metabolism. Mol Cell. 2019; 75:823–34.e5. https://doi.org/10.1016/j.molcel.2019.06.008 [PubMed]
- 17. Yuan L, Yang J, Li Y, Yuan L, Liu F, Yuan Y, Tang X. Matrine alleviates cisplatin-induced acute kidney injury by inhibiting mitochondrial dysfunction and inflammation via SIRT3/OPA1 pathway. J Cell Mol Med. 2022; 26:3702–15. https://doi.org/10.1111/jcmm.17398 [PubMed]
- 18. Zhang X, Agborbesong E, Li X. The Role of Mitochondria in Acute Kidney Injury and Chronic Kidney Disease and Its Therapeutic Potential. Int J Mol Sci. 2021; 22:11253. https://doi.org/10.3390/ijms222011253 [PubMed]
- 19. Wang Z, Sun R, Wang G, Chen Z, Li Y, Zhao Y, Liu D, Zhao H, Zhang F, Yao J, Tian X. SIRT3-mediated deacetylation of PRDX3 alleviates mitochondrial oxidative damage and apoptosis induced by intestinal ischemia/reperfusion injury. Redox Biol. 2020; 28:101343. https://doi.org/10.1016/j.redox.2019.101343 [PubMed]
- 20. Kasai S, Shimizu S, Tatara Y, Mimura J, Itoh K. Regulation of Nrf2 by Mitochondrial Reactive Oxygen Species in Physiology and Pathology. Biomolecules. 2020; 10:320. https://doi.org/10.3390/biom10020320 [PubMed]
- 21. Chen Y, Jin S, Teng X, Hu Z, Zhang Z, Qiu X, Tian D, Wu Y. Hydrogen Sulfide Attenuates LPS-Induced Acute Kidney Injury by Inhibiting Inflammation and Oxidative Stress. Oxid Med Cell Longev. 2018; 2018:6717212. https://doi.org/10.1155/2018/6717212 [PubMed]
- 22. Jones JD, Brunett PC. Creatinine metabolism and toxicity. Kidney Int Suppl. 1975; 294–8. [PubMed]
- 23. Baum N, Dichoso CC, Carlton CE. Blood urea nitrogen and serum creatinine. Physiology and interpretations. Urology. 1975; 5:583–8. https://doi.org/10.1016/0090-4295(75)90105-3 [PubMed]
- 24. Tian N, Gao Y, Wang X, Wu X, Zou D, Zhu Z, Han Z, Wang T, Shi Y. Emodin mitigates podocytes apoptosis induced by endoplasmic reticulum stress through the inhibition of the PERK pathway in diabetic nephropathy. Drug Des Devel Ther. 2018; 12:2195–211. https://doi.org/10.2147/DDDT.S167405 [PubMed]
- 25. Albersmeyer M, Hilge R, Schröttle A, Weiss M, Sitter T, Vielhauer V. Acute kidney injury after ingestion of rhubarb: secondary oxalate nephropathy in a patient with type 1 diabetes. BMC Nephrol. 2012; 13:141. https://doi.org/10.1186/1471-2369-13-141 [PubMed]
- 26. Chen YY, Cao YJ, Tang YP, Chen JQ, Yue SJ, Li JJ, Zhang S, Zhou GS, Duan JA. [Dose-toxicity-effect relationship between licorice combined with rhubarb in purgation]. Zhongguo Zhong Yao Za Zhi. 2019; 44:2131–8. https://doi.org/10.19540/j.cnki.cjcmm.20190117.003 [PubMed]
- 27. Wang Z, Wu J, Hu Z, Luo C, Wang P, Zhang Y, Li H. Dexmedetomidine Alleviates Lipopolysaccharide-Induced Acute Kidney Injury by Inhibiting p75NTR-Mediated Oxidative Stress and Apoptosis. Oxid Med Cell Longev. 2020; 2020:5454210. https://doi.org/10.1155/2020/5454210 [PubMed]
- 28. Böhner AMC, Jacob AM, Heuser C, Stumpf NE, Effland A, Abdullah Z, Meyer-Schwesiger C, von Vietinghoff S, Kurts C. Renal Denervation Exacerbates LPS- and Antibody-induced Acute Kidney Injury, but Protects from Pyelonephritis in Mice. J Am Soc Nephrol. 2021; 32:2445–53. https://doi.org/10.1681/ASN.2021010110 [PubMed]
- 29. Su L, Zhang J, Gomez H, Kellum JA, Peng Z. Mitochondria ROS and mitophagy in acute kidney injury. Autophagy. 2023; 19:401–14. https://doi.org/10.1080/15548627.2022.2084862 [PubMed]
- 30. Han L, Ren RR, Wan KL, Yang L, Kang JQ. Plasma inflammatory factors in older people predict acute kidney injury: a case-control study. Eur Geriatr Med. 2019; 10:905–11. https://doi.org/10.1007/s41999-019-00250-9 [PubMed]
- 31. Ye B, Chen X, Dai S, Han J, Liang X, Lin S, Cai X, Huang Z, Huang W. Emodin alleviates myocardial ischemia/reperfusion injury by inhibiting gasdermin D-mediated pyroptosis in cardiomyocytes. Drug Des Devel Ther. 2019; 13:975–90. https://doi.org/10.2147/DDDT.S195412 [PubMed]
- 32. Ji C, Deng Y, Yang A, Lu Z, Chen Y, Liu X, Han L, Zou C. Rhubarb Enema Improved Colon Mucosal Barrier Injury in 5/6 Nephrectomy Rats May Associate With Gut Microbiota Modification. Front Pharmacol. 2020; 11:1092. https://doi.org/10.3389/fphar.2020.01092 [PubMed]
- 33. Zhao M, Wang Y, Li L, Liu S, Wang C, Yuan Y, Yang G, Chen Y, Cheng J, Lu Y, Liu J. Mitochondrial ROS promote mitochondrial dysfunction and inflammation in ischemic acute kidney injury by disrupting TFAM-mediated mtDNA maintenance. Theranostics. 2021; 11:1845–63. https://doi.org/10.7150/thno.50905 [PubMed]
- 34. Lin Q, Li S, Jiang N, Shao X, Zhang M, Jin H, Zhang Z, Shen J, Zhou Y, Zhou W, Gu L, Lu R, Ni Z. PINK1-parkin pathway of mitophagy protects against contrast-induced acute kidney injury via decreasing mitochondrial ROS and NLRP3 inflammasome activation. Redox Biol. 2019; 26:101254. https://doi.org/10.1016/j.redox.2019.101254 [PubMed]
- 35. Vasconcelos AR, da Paixão AG, Kinoshita PF, Orellana AM, Scavone C, Kawamoto EM. Toll-like Receptor 4 Signaling is Critical for the Adaptive Cellular Stress Response Effects Induced by Intermittent Fasting in the Mouse Brain. Neuroscience. 2021; 465:142–53. https://doi.org/10.1016/j.neuroscience.2021.04.022 [PubMed]
- 36. Khan I, Saeed K, Jo MG, Kim MO. 17-β Estradiol Rescued Immature Rat Brain against Glutamate-Induced Oxidative Stress and Neurodegeneration via Regulating Nrf2/HO-1 and MAP-Kinase Signaling Pathway. Antioxidants (Basel). 2021; 10:892. https://doi.org/10.3390/antiox10060892 [PubMed]
- 37. Zhou YQ, Mei W, Tian XB, Tian YK, Liu DQ, Ye DW. The therapeutic potential of Nrf2 inducers in chronic pain: Evidence from preclinical studies. Pharmacol Ther. 2021; 225:107846. https://doi.org/10.1016/j.pharmthera.2021.107846 [PubMed]
- 38. Huang C, Jiang S, Gao S, Wang Y, Cai X, Fang J, Yan T, Craig Wan C, Cai Y. Sirtuins: Research advances on the therapeutic role in acute kidney injury. Phytomedicine. 2022; 101:154122. https://doi.org/10.1016/j.phymed.2022.154122 [PubMed]
- 39. Sun W, Liu C, Chen Q, Liu N, Yan Y, Liu B. SIRT3: A New Regulator of Cardiovascular Diseases. Oxid Med Cell Longev. 2018; 2018:7293861. https://doi.org/10.1155/2018/7293861 [PubMed]
- 40. Sajadimajd S, Khazaei M. Oxidative Stress and Cancer: The Role of Nrf2. Curr Cancer Drug Targets. 2018; 18:538–57. https://doi.org/10.2174/1568009617666171002144228 [PubMed]
- 41. Cui W, Zhang Z, Zhang P, Qu J, Zheng C, Mo X, Zhou W, Xu L, Yao H, Gao J. Nrf2 attenuates inflammatory response in COPD/emphysema: Crosstalk with Wnt3a/β-catenin and AMPK pathways. J Cell Mol Med. 2018; 22:3514–25. https://doi.org/10.1111/jcmm.13628 [PubMed]
- 42. Wang Y, Yang C, Elsheikh NAH, Li C, Yang F, Wang G, Li L. HO-1 reduces heat stress-induced apoptosis in bovine granulosa cells by suppressing oxidative stress. Aging (Albany NY). 2019; 11:5535–47. https://doi.org/10.18632/aging.102136 [PubMed]


